What should I do now?

Where are you on your breast screening journey?
Learn when you should start mammograms based on your age, family history, and personal risk.

Book your BreastScreen appointment and know the test is safe, quick, and part of routine care. If going privately, you will need a GP referral first.

Learn more about breast density, other breast cancer risk factors, and your personal breast cancer risk.

Discuss whether extra (supplementary) screening such as ultrasound, MRI, or other tests is right for you.

Once you have your mammogram report start a conversation with your GP and ask:
- What does my breast density category mean?
- Does it affect how my mammogram is read?
- Do I need supplementary screening? What are my options?

Make informed decisions:
If you have had a mammogram and have confirmed breast density category D, you should talk to your doctor to understand more about supplementary screening tests.
There is a new blood test (currently available in Sydney) that may be used in addition to breast imaging to assist your doctor in deciding the next steps as part of your breast screening.
If you would like more information on this test via your doctor, please provide your contact details in the form, along with your GP’s name and clinic information.
We will contact their clinic directly to arrange an information kit to be shared with your doctor in advance of your next appointment.
Eligibility criteria apply. For guidance on individual eligibility, please speak with your doctor.

Your GP may suggest:6
- Some lifestyle modifications you can make to reduce your breast cancer risk such as dietary changes, decreasing alcohol intake or increasing physical activity; and/or
- Becoming familiar with the normal look and feel of your breasts (breast awareness) – learn how to check your breasts here; and/or
- Taking you through an online risk assessment tool; and/or
- Some additional tests to help rule out breast cancer.
Breast density resources
Frequently asked questions
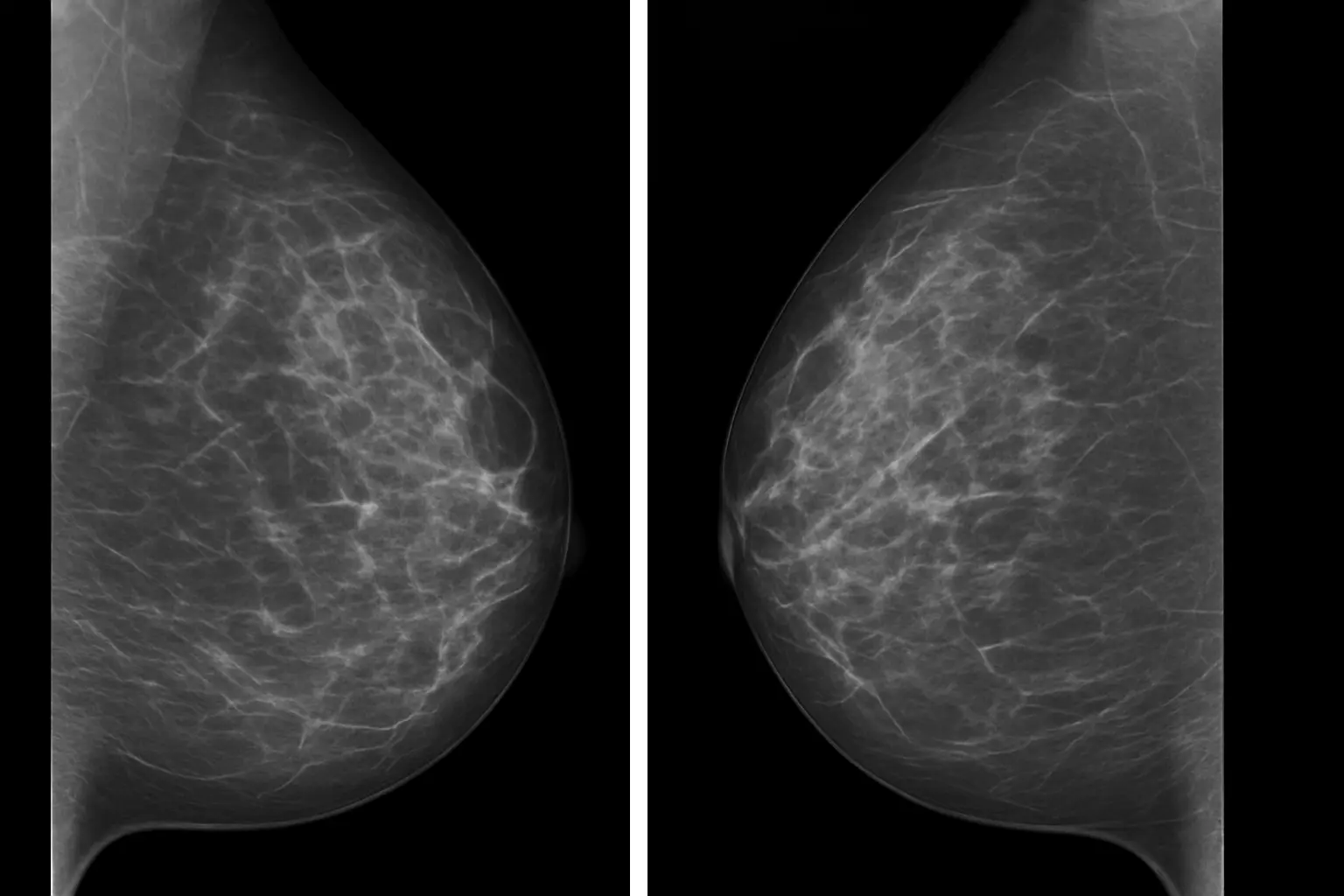
What is breast density?
Breast density describes the mix of glandular/fibrous tissue and fat seen on a mammogram. It is reported in four categories:4,6
A: Almost entirely fatty
B: Scattered areas of dense tissue
C: Mostly dense
D: Extremely dense
Dense breasts (C or D) are very common and normal.
How do I find out my breast density?
From June 2025, BreastScreen Australia recommends that mammogram reports include a woman’s breast density category (the timing of this may differ across states and territories).6
If you don’t see it on your report, talk to your GP.
Does having dense breast increase my risk of breast cancer?
Yes – women with dense breast have a slightly higher risk of breast cancer than women with less breast density.1,2,4,6 However, density is just one of several factors of breast cancer.4,6 Your personal risk also depends on age, family history, genetics and lifestyle. Your GP can help you understand your overall risk.4 You may wish to complete the iPrevent Breast Cancer Risk questionnaire and take it to your GP to discuss.
Why does density matter when it comes to mammograms?
Dense tissue can make cancers harder to see on a mammogram (also known as reduced sensitivity).1,2,4,6 Mammograms remain the most important screening method for detecting breast cancer4,6 and knowing your breast density helps you and your doctor decide if any additional screening options are appropriate for you.
I’m a Category C / D – what should I do next?
- Keep screening every two years as recommended.6
- Book an appointment with your GP to discuss your report, personal risk and whether additional screening options are right for you. Depending on your result and personal situation, your GP may discuss options such as ultrasound, contrast-enhanced mammography (CEM), MRI or a blood test.4
Can breast density change?
Density can change over time (often lowering after menopause),4 and it can be influenced by factors like age, hormones and some medications.4,5 Focus on what you can control including regular breast screening, knowing your breast density category, and discussing your personal risk with your GP and the additional screening options available to you.
Can I reduce my breast density?
Yes, some medications can reduce breast density. You should talk to your doctor about this.